시기별 치료과정 성장조절 치료증례 치아교정 치료증례 수술교정 치료증례
발치유무에 따른 교정치료 분류
덧니 또는 입술의 돌출이 있고 턱의 부조화가 심하지 않은 부정교합은 치아 이동 공간을 얻는 방법에 따라 주로 소구치를 발치하고 치료하는 발치 교정방법과 사랑니공간을 주로 사용하여 치료하는 비발치 교정방법으로 구분할 수 있습니다.
비발치교정
NONEXTRACTION TREATMENT
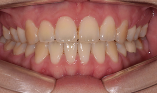
심피개교합 비발치증례
치료 전
치료 후
덧니 비발치증례
치료 전
치료 후
치료 전
치료 후
하악과성장 비발치증례
치료 전
치료 후
발치교정
EXTRACTION TREATMENT
하악후퇴 발치증례
치료 전
치료 후
치료 전
치료 후
하악후퇴 발치증례
치료 전
치료 후 2년
치료 전
치료 후 2년
상악전돌 발치증례
치료 전
치료 후
치료 전
치료 후
덧니 발치증례
치료 전
치료 후
덧니 발치증례
치료 전
치료 후
덧니 발치증례
치료 전
치료 후 2년
덧니 발치증례
치료 전
치료 후 4년
돌출 발치증례
치료 전
치료 후
치료 전
치료 후
돌출 발치증례
치료 전
치료 후 3년
치료 전
치료 후 3년
돌출 발치증례
치료 전
치료 후 5년
치료 전
치료 후 5년
안모 부조화에 따른 부정교합 분류
윗턱과 아래턱의 수직, 수평, 횡적 부조화에 의한 부정교합은 증상에 따라 개방교합, 심피개교합, 주걱턱, 무턱등으로 나누며 심한 치간 공극도 악골간 부조화가 원인중 하나입니다
심피개교합
DEEP OVERBITE
심피개교합 발치증례
치료 전
치료 후
치료 전
치료 후
심피개교합 비발치증례
치료 전
치료 후
개방교합
OPEN BITE
개방교합 비발치증례
치료 전
치료 후
개방교합 발치증례
치료 전
치료 후
전치부반대교합
ANTERIOR CROSSBITE-ORTHODONTICS ONLY
비수술 증례
치료 전
치료 후
치간공극
SPACED DENTITION
치간공극 과개교합증례
치료 전
치료 후
치간공극 과잉치증례
치료 전
치료 후
부분교정
LIMITED ORTHODONTICS
하악전치 증례
치료 전
치료 후
치료 전
치료 후